At Loukas Dentistry of Park Ridge, our philosophy is simple. We strive to provide high quality care using the latest in dental technology. Our staff utilizes their knowledge and experience to help restore smiles and improve your dental health. Drs. Maria and Thanasi Loukas also want to ensure that patients arriving at Loukas Dentistry of Park Ridge are greeted by both a friendly staff and a welcoming atmosphere.
We Believe in Educating Our Patients
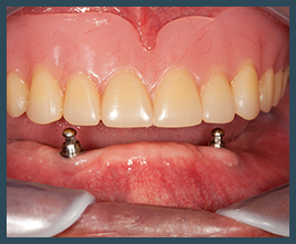
Missing teeth endanger your dental health and can even threaten the stability of your smile. Dental implants can help restore your lost teeth. With dental implants, your Park Ridge dentists use restorations made from biocompatible materials to provide secure and esthetically pleasing replacement teeth. Many people have questions about this unique procedure: Do implants look natural? How does the procedure work? Do I qualify? For more information on our innovative dental implant procedures, we invite you to browse through our patient education resources:
- Do I Quality for Dental Implants?
- Implants vs. Traditional Dental Prosthetics
- Dental Implants and Oral Health
We believe in educating our patients on the importance of restoring missing teeth. We also want patients to understand how a few simple steps may even prevent tooth loss. Preventive dentistry involves undergoing routine dental checkups and cleanings, as well as keeping good dental habits at home. By brushing and flossing your teeth regularly, and maintaining a healthy diet light on sugars and other starches, you can protect and preserve your smile.
If you have any more questions about your dental health, please don’t hesitate to contact your Park Ridge dentists today. We are happy to address any questions or concerns you may have regarding our procedures for keeping your teeth healthy and bright.

Hours





